肺部结节MDT
来源:胸心外科、呼吸与危重症医学科、放射科 发布时间:2021-03-16 09:08:00 浏览次数:18165

肺部结节MDT

根据国家癌症中心最新发布的数据显示,目前在我国发病率和死亡率最高的恶性肿瘤都是肺癌,且不同分期的肺癌预后差异率较大。而早期肺癌多以肺结节的形式生长。因此及时对肺部结节进行性质判定和诊治,对于提升肺癌治愈率,提升患者的生活质量具有极大帮助。


(图为肺结节在随访观察中的变化,其中A图为基线,B图为三个月后,C图为六个月后,该患者术后病理为浸润性腺癌)

肺结节是指影像学上肺内直径3cm的局灶性、类圆形的、密度增高的实质性或亚实质性的肺部阴影。用通俗的语言来讲,只要是长在肺部且直径在3cm以下的新生物或病灶,都可以称之为“肺结节”。所以,肺结节的具体性质是多种多样的,可能是炎症,也可能是结核,良性肿瘤或者恶性肿瘤。

和其他体表肿物或浅部组织不同的是,肺部位于胸腔内,位置较深,传统的在B超或CT引导下穿刺活检对于直径较小的肺部结节病灶的准确率不高。如若直接进行胸腔镜手术进行切除活检虽能获得极高的准确率,但是手术具有较大的创伤和较高的花费的缺点。因此对于肺结节这一病种而言,改进传统的诊疗思虑及策略是必要的。

多学科诊疗模式(Multi disciplinary team ,MDT)是指由来自外科、内科、肿瘤科、放疗科、影像科、病理科等科室专家组成的工作组,针对某一特定疾病,通过定期会诊形式,从不同专科的角度,提出适合患者的最佳治疗方案,继而由相关学科或多学科联合执行该治疗方案。

对患者来说,相比由单一科室诊疗,MDT能够结合多位不同专业领域的专家意见,制订出更全面详尽的治疗方案。从而降低误诊,减少患者就诊时间,提高医疗效率和医疗质量。

案例一:

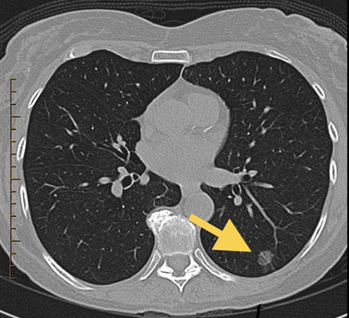
患者陈女士近日在单位体检中查胸部平扫CT时发现左侧肺部有一个直径约10mm的肺部纯磨玻璃样结节(如图,磨玻璃结节指:密度较低,在CT图像上像一块磨玻璃似的病灶)。


经过MDT团队中包括胸心外科、呼吸科、影像科、病理科等多门学科专家合作诊疗后,各位专家认为陈女士左肺的磨玻璃病灶直径较大,且病灶旁可见短小毛刺,病灶内部密度稍有不均,考虑早期肺癌可能性大,建议限期行手术切除,明确病理结果的同时进行外科手术治疗。

后陈女士在我院胸心外科接受了胸腔镜手术,术后的病理结果为:原位腺癌伴微浸润。属于早期肺癌,治愈率接近100%,预后极好。因陈女士及时对肺部病灶进行处理,目前尚未达到浸润性腺癌,无需行扩大手术治疗,术后也无需使用化疗或其他辅助治疗。

案例二:

患者张先生今年因间断咳嗽至医院查胸部CT时发现左肺结节,后至我院MDT就诊,多学科专家会诊认为,张先生的肺结节影像学形态为中低危,考虑良性的可能性较大,建议先至呼吸内科行静脉抗感染治疗后再复查胸部CT,若复查后病灶较前不变或缩小,可继续选择随访观察无需特殊处理,若病灶较前增大,可再至外科行手术切除。

张先生遵循MDT团队专家的意见,经过呼吸内科规范静脉抗感染治疗后复查胸部CT显示左肺结节较前有所吸收,遂选择继续随访观察,避免了不必要的手术创伤和花费。

 

肺结节MDT团队介绍:

1.胸心外科

马海涛,博士生导师、教授、胸外科首席专家、学科带头人,苏州市独墅湖医院(苏州大学附属独墅湖医院)胸心外科主任,大外科主任。长期致力于胸部肿瘤的基础、临床和教学工作,每年主刀完成大量胸外科手术,擅长胸腔镜微创手术和复杂胸部肿瘤的根治手术,注重肿瘤手术的系统性淋巴结清扫。在肺癌、食管癌、纵隔肿瘤和重症胸部外伤的个体化、规范化治疗方面有非常丰富的经验和独到的见解。

在国内外期刊发表论文100余篇,其中SCI收录超过40篇。承担国家重点研发计划,国家科技支撑计划,国家自然科学基金项目,卫生部科技发展计划,卫生部“十一五”重点项目,江苏省自然科学基金项目,江苏省产学研项目,苏州市临床重点项目,苏州科技计划项目等各类课题多项。获多项国家发明专利,多次荣获国防科工委,教育部,江苏省卫健委及苏州市各类科技成果奖励。

任中国医师协会胸外科分会常务委员,中国医药教育协会肺癌医学教育委员会副主任委员,中国医师协会内镜医师分会胸腔镜专业委员会常委,中国医疗保健国际交流促进会胸外科分会常委,中华医学会胸心血管外科肺癌学组委员,CSCO非小细胞肺癌专家委员会常委,江苏省医学会胸外科分会副主任委员,食管癌学组组长,江苏省医师协会胸外科分会副会长,江苏省抗癌协会肺癌专业委员会副主任委员,江苏省抗癌协会肿瘤微创治疗专业委员会常委、腔镜学组组长,江苏省医学会肿瘤学分会食管癌学组副组长,江苏省肿瘤防治联盟食管癌专业委员会副主委,中国医师协会《全国医师定期考核胸外科编辑委员会》委员,美国胸外科医师协会(STS)会员,国际肺癌研究协会(IASLC)会员,美国临床肿瘤协会(ASCO)会员,中国肺癌杂志、中华胸部外科杂志(电子版)、肿瘤学杂志等编委。

2.呼吸与危重症医学科

蒋军红,主任医师、副教授、博士生导师、医学博士,呼吸与危重症医学科主任。擅长介入肺病学、肺结节、肺癌、骨髓移植肺病诊治。主要研究方向介入肺脏病学、肺癌的诊治、骨髓移植肺部并发症的诊治。

The Johns Hopkins hospital访问学者。从事呼吸重症工作和治疗组组长多年,在呼吸系统疾病的诊治方面积累了丰富的经验,率先开展多项呼吸内镜核心技术涵盖气道激光治疗、氩气刀治疗、气道内冷冻治疗、气道球囊扩张、支气管镜下气道支架置入术、硬质气管镜下介入技术、EBUS-TBNA、导航支气管镜、气管支气管硅酮支架置入术、经皮肺穿刺术、经皮放射性粒子治疗、纵膈淋巴结粒子植入治疗、经皮消融治疗等技术;熟练掌握肺癌的早诊、晚期肺癌化疗、同步化放疗、免疫治疗、靶向治疗等手段,尤其是肺结节的诊断。成立苏州市首批名医工作室致力于骨髓移植后肺部疾病的诊治。

以第一或通讯作者发表SCI论文20多篇。获得江苏省新技术引进奖一等奖、苏州市新技术引进奖一等奖,高等学校科技进步二等奖。省、市部级课题3项,课题经费600多万,发明的经软性支气管镜释放的气道支架植入系统(蒋氏支架)获得国家发明专利并转发为临床产品。

任中华医学会呼吸分会介入呼吸病学学组组员,中国医师协会内镜分会呼吸内镜委员,中国医师协会呼吸分会介入呼吸病学委员,中国抗癌协会肿瘤消融委员会委员,中国抗癌协会内肿瘤微创治疗专业委员会粒子治疗分会委员,江苏省医学会呼吸病学分会内镜学组副组长,华东介入学组委员,海西介入呼吸病学委员,江苏省肺癌协作组成员。

3.放射科

郭亮,主任医师。擅长肿瘤影像诊断,肺部小结节的鉴别诊断,对疑难杂症的诊断和鉴别诊断有着丰富的经验。主持及参与国家自然基金项目2项,主持省重大自然基金项目一项,获省级科技进步三等奖2项。曾担任江苏省医学会放射学分会常委,苏州市医学会放射诊断专业委员会主任委员。