急救脱险 母婴平安——苏大附四院妇产科成功救治一例子宫破裂孕产妇
来源:蒲丽、王彩凤 发布时间:2024-08-13 08:59:00 浏览次数:6032
  8月6日凌晨4时,睡梦中的孕妇胡女士,突然被一阵腹痛刺激惊醒,且难以动弹。疼痛持续难以缓解,她慌了神,丈夫尚在外地,家中还有一位幼子和一位老人,本次妊娠尚未到达36周。疼痛难忍的她自行拨通了120,疼痛持续,天色微亮,胡女士经120急救送至我院。
  妇产科值班医生第一时间发现孕妇心率较快,虽是经产妇,但腹痛的症状不同于早产临产。快速进行了病史回顾及排查——孕妇虽然有胆结石病史,但此次腹痛不同于胆囊炎及宫缩,在快速鉴别诊断中,值班医生通过对既往史的分析,考虑患者既往有一侧宫角妊娠手术史,本次急腹症倾向于判断子宫破裂存在腹腔内出血。在不能立刻确诊的情况下,妇产科即刻启动了危重孕产妇救治流程预案:即刻组建救治团队——超声科排除胆囊炎、血库紧急备血、手术室备案紧急手术、开通绿色通道、科室救治核心成员到场准备。
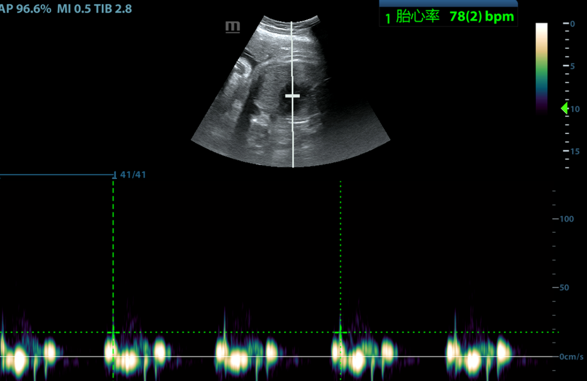
  超声检查基本排除了胆囊炎及胆结石导致的疼痛,且发现盆腹腔大量积液。就在救治准备工作即将完成之际,婴儿的胎心因为母亲的失血突然不稳定,出现了严重的胎心率下降,胎儿宫内窘迫,孕妇的生命体征逐渐失去稳定。救治团队核心专家立刻给出诊断:子宫破裂的诊断基本明确,且腹腔存在活动性内出血,需要启动紧急剖宫产。
  妇产科联合麻醉手术科即刻启动了紧急剖宫产,7时3分,手术刀片划下,7时6分便传来一声啼哭。手术室内所有的医护人员悬着的心终于放下:母体腹腔活动性出血得以控制、早产女婴健康,重2370g。母体腹腔内出血2000ml,子宫角既往宫角妊娠处见一破裂口活动性出血明显。子宫修补、输血、ICU维稳生命体征,通过1小时奋战,母婴救治成功。
  救治团队在5分钟内便完成了从决定手术到胎儿娩出的过程。孕妇的丈夫在外地、胎儿未足月、母体生命受到内出血威胁等多项不利因素加持,苏大附四院在与时间赛跑。危重孕产妇团队跑赢了死神,成功挽救了母亲与胎儿的生命。本例子宫破裂实属罕见,救治团队仔细且精准的判断是救治成功的基石。胡女士的惊险经历为我们每一位孕妈妈敲响了警钟,正规产检和病史的准确提供是诊疗疾病的基础。所幸,胡女士一直在我院围产门诊产检,每一位妇产科医生都对与她的情况有所掌握,母子保健册上清楚记录有“宫角妊娠手术史”,胡女士是我院危重孕产妇管理中的其中一位。
  本例子宫破裂的成功抢救,以妇产科为主导,联合麻醉科、手术室、新生儿科的共同协助。生命可贵,感谢患者及其家属的信任,我们用努力回报患者的托付,新生命的安全与产妇的康复是我们的首要牵挂。
  子宫破裂(uterine rupture)是指子宫体部下段肌层连续性中断,按浆膜层完整与否分完全性破裂与不完全性破裂。是罕见的产科急症,发生率为0.5~3/万人,与严重出血、弥散性血管内凝血、孕产妇死亡、胎儿宫内窘迫和新生儿死亡密切相关,及时诊断治疗至关重要。子宫破裂的母儿预后与识别及干预早晚相关,我国统计数据表明发生子宫破裂的孕妇病死率达2.12%,加强妊娠期管理和生育质量改善至关重要。
  子宫破裂常见诱因包括:梗阻性难产、阴道助产手术、瘢痕子宫(剖宫产术瘢痕子宫、妇科手术瘢痕子宫)、子宫破裂史、胎盘植入、宫颈环扎等。本案例中情况属于妇科手术瘢痕子宫,其子宫破裂的发生与2021年右侧宫角妊娠手术密切相关,该类型子宫破裂可能发生于中晚期和临产后的任何阶段。